- 1 : 2025/06/17 12:15:11 ???
-
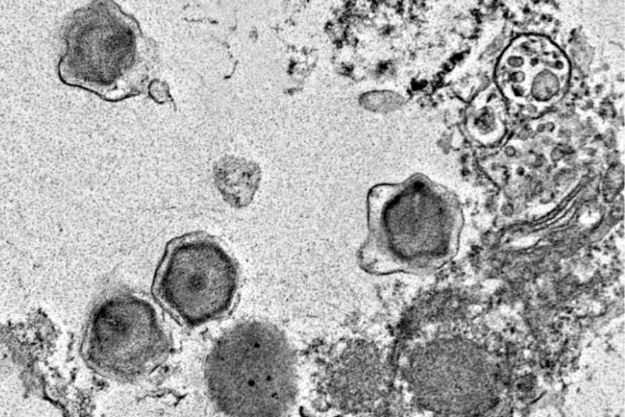
ウイルスと聞くと、多くの人が「インフルエンザウイルス」や「コロナウイルス」を思い浮かべるでしょう。
それらのウイルスは非常に小さな存在であり、それぞれの直径は0.2マイクロメートルにも達しません。
その一方で、ウイルスの中には直径が0.25マイクロメートル以上に達するものがいます。
それが「巨大ウイルス」です。
たとえば「ミミウイルス」などは、一般的なウイルスの10倍以上の大きさあります。
また巨大ウイルスは大きいだけではありません。
遺伝子の数も桁違いで、自分でタンパク質を作る能力や光合成に関係する機能まで持っていることがあるのです。
これは通常のウイルスではあり得ません。
そして研究チームは今回、北極から南極、さらに大西洋やバルト海など世界各地の海水サンプルを集め、特殊なコンピュータ解析を実施。
その結果、これまで科学的に未知だった新種の巨大ウイルスを230種類も発見したのです。
- 2 : 2025/06/17 12:16:07 FFR2t
- 氷が融解しだしてるからか
- 3 : 2025/06/17 12:18:46 NHH2t
- 毛を生やすウィルスを発見しまつた
- 4 : 2025/06/17 12:19:58 NQr6A
- 0.2も0.25も変らないと思うが?
- 5 : 2025/06/17 12:20:24 M5Q73
- ウイルスミス定期
- 6 : 2025/06/17 12:21:58 FEDMH
- ユダヤ人は巨大極悪ウイルスだった
- 7 : 2025/06/17 12:23:18 IHGcY
- これ中国が研究してお漏らし→中国人集団旅行のコンボを、またやるんでしょ?
- 8 : 2025/06/17 12:28:35 kH1LI
- しょうもないもの研究して遊ぶのやめなよ
- 9 : 2025/06/17 12:29:00 6jzKs
- ウイルスと単細胞生物の中間みたいな存在かな
- 10 : 2025/06/17 12:32:22 0qLeO
- それ伊勢海老ですよ
- 11 : 2025/06/17 12:36:13 xCv2v
- ウイルスのように増えるサメの映画を早く作らんと
- 12 : 2025/06/17 12:43:11 RAi9o
- 古代のものは総じて大きいらしいしな
- 15 : 2025/06/17 13:51:51 YAMbm
- それ細菌だろ
- 16 : 2025/06/17 14:08:50 lnEfJ
- ははーん、生命の起源に迫ってるな?
- 17 : 2025/06/17 15:40:18 rM6sj
- 縄文時代の思想信条は「仏心の想」に近いな多分ww
- 18 : 2025/06/17 15:41:49 rM6sj
- >>17
「仏心の想」は自然信仰とも合致するぞ!ww - 21 : 2025/06/17 15:48:06 rM6sj
- >>17
これがやがて原始宗教になり、原始仏教になってゆくんだ多分wwwww - 19 : 2025/06/17 15:43:07 CwLSz
- リアル ゴッドイーター
- 20 : 2025/06/17 15:44:10 z253M
- ワク信どんだけ打たされるねん
- 22 : 2025/06/17 15:48:32 SrpMN
- 古代の氷が溶けて古代のウイルスが復権し、方や鏡像生命も増え、あらゆる元素の獲得競争が過当競争になり、土地は痩せ作物は枯れ、天変地異が起こるわけだが、なんやかんやで地球滅亡を待てない人類は核戦争で自滅する。こわいね。
- 23 : 2025/06/17 16:00:58 rM6sj
- 縄文人も色々いたしな、社会性の合う渡来人とは共生共存しているしな!www
- 25 : 2025/06/17 18:54:50 Dt7Cf
- 縄文師匠人達のテリトリーは、今現在の中国と呼ばれている地域にまで広がっていたし、朝鮮半島全土にも広まっていたからな!wwwww
- 29 : 2025/06/18 00:04:14 a4y1p
- >>25
縄文人とゆーより縄文師匠人だ!ww - 26 : 2025/06/17 20:19:58 rHOVM
- 耳に似てるからミミウイルスらしいじゃん。
- 27 : 2025/06/17 21:55:00 h0u4A
- これらのウィルスが更に狂暴化して人類を徹底的に襲って来るのです。
一瞬で心臓を止めてしまう「心停ウィルス」、腎臓の機能を変えてしまう「腎変ウィルス」、肝臓をカチンカチンに硬くさせてしまう「肝硬ウィルス」、他にも変異する可能性があり、人類滅亡まであり得るウィルスです。
そんなときに、ロシア・ウクライナ戦争、イラン・イスラエル戦争などしている暇があるんですか? - 28 : 2025/06/17 22:11:35 m9FQn
- ウイルスは生き物といっていいんだろうか?
- 30 : 2025/06/18 00:06:45 5dgZW
- 接触して巨人になるんだろ?
∧∧ アニメで見た
( =゚-゚)
.(∩∩)
【生物学】世界各地の海から「未知の巨大ウイルス」230種類を発見
talkニュー速+

コメント